Stele from grave in Turkey

THE BRAIN

THE BRAIN is wider than the sky,
For, put them side by side,
The one the other will include
With ease, and you beside.

The brain is deeper than the sea,
For, hold them, blue to blue,
The one the other will absorb,
As sponges, buckets do.

The brain is just the weight of God,
For, lift them, pound for pound,
And they will differ, if they do,
As syllable from sound.

Emily Dickinson (1830-86)

 

Samuel Butler and human long term memory

Is the cupboard bare?

Donald R. Forsdyke

Journal of Theoretical Biology (2009) 258, 156-164

DOI: 10.1016/j.jtbi.2009.01.028

 

ABSTRACT

1. Introduction

2. Terminology in long term memory research

3. Genome bioinformatics as heuristic

4. Brain memory and heredity equated

5. Butler and Semon

6. Savants and information measurement

7. Internal signal detection and emission

8. Brain as a perceptual organ

9. Argument from incredulity

10. Conclusions

11. Summary

End Note (March 2009) Ribot

End Note (July 2009) HAR1

End Note (Dec 2009) Crick

End_Note_(November_2010)_Darwins_Notebook_N

End_Note_(June_2012)_Erwin_Schrodinger

End_Note_(October_2012)_Brain_Plasticity

End_Note_(Jan_2013)_Universality_of_Replicators

End_Note_(Mar_2013)_Freud,_Butler_and_Hering

End_Note_(Sep_2017)_Retraction_of_Oliviera_et_al._2012

End_Note_(January_2018)_Many_Supportive_Reports

End_Note_(January_2020)_A_Rat_with_No_Brain

ABSTRACT

Memory studies in biological systems distinguish three informational processes that are generally sequential - production/acquisition, storage, and retrieval/use. Identification of DNA as a storage form for hereditary information accelerated progress in that field. Assuming the path of successful elucidation in one memory field (heredity) to be heuristic for elucidation in another (brain), then progress in neuroscience should accelerate when a storage form is identified.

In the nineteenth century Ewald Hering and Samuel Butler held that heredity and brain memory both involved the storage of information and that the two forms of storage were the same. Hering specified storage as 'molecular vibrations' but, while making a fuller case, Butler was less committal. In the twentieth century, the ablation studies of Karl Lashley failed to identify unique sites for storage of brain information, and Donald Hebb's 'synaptic plasticity' hypothesis of distributed storage over a neuronal network won favor. In the twenty first century this has come under attack, and the idea that brain and hereditary information are stored as DNA is advocated. Thus, albeit without attribution, Butler's idea is reinstated.

Yet, while the case is still open, the synaptic plasticity and DNA hypotheses have problems. Two broad alternatives remain on the table. Long term memory is located: (1) in the brain either in some other macromolecular form (e.g. protein, lipid), or in some sub-molecular form (e.g. quantum computing and "brain as holograph" hypotheses), or (2) outside the brain. The suggestion of the medieval physician Avicenna that the brain 'cupboard' is bare, - i.e. the brain is a perceptual, not storage, organ - is consistent with a mysterious 'universe as holograph' model. Understanding how Butler came to contribute could be heuristic for future progress in a field fraught with 'fractionation and disunity.'

Keywords.  Bioinformatics, Brain, DNA, Heredity, Holograph hypothesis, Information storage, Universe as holograph

 

In arguing, too, the parson own'd his skill,
For, ev'n though vanquish'd, he could argue still;
While words of learned length and thundering sound
Amazed the gazing rustics rang'd around;
And still they gaz'd, and still the wonder grew,
That one small head could carry all he knew.

 

1. Introduction

This poem celebrates the prodigious memory of the village parson (Goldsmith, 1770). But the greater stores of information displayed by savants appear to have similar cranial confinements (Hamilton, 1859; Luria, 1968). On the assumption that parsons and savants store their information similarly, then theories of storage cannot exclude the high bar set by the latter. Such theories have ancient roots (Murray, 1988; Draaisma, 2000). While in their 1858 Linnaean Society addresses Charles Darwin and Alfred Wallace agreed on the power of natural selection, the latter came to draw the line at the human brain and favored explanations that pointed to 'an unseen universe' (Wallace, 1889). Not so Ewald Hering (1834-1918), Theodule Ribot (1839-1916), and Samuel Butler (1835-1902). In the 1870s they explicitly equated brain memory and heredity (Schacter, 1982; Forsdyke, 2006a, b; Cock and Forsdyke, 2008). 'Heredity -- is a specific memory: it is to the species what memory is to the individual,' wrote Ribot (1875), but went no further. Hering invoked molecular vibrations. Butler (1880) was cautious:

I am not committed to the vibration theory of memory, though inclined to accept it on a prima facie view. All I am committed to is, that if memory is due to the persistence of vibrations, so is heredity; and if memory is not so due, then no more is heredity.

In the twentieth century DNA was seen to localize hereditary information to the cell nucleus, but ablation studies in rodents and primates by neurophysiologist Karl Lashley (1960) failed to locate brain memory ('engrams'):

The engram of a new association, far from consisting of a single bond or neuron connection, is probably a reorganization of a vast system of associations involving the interrelations of hundred of thousands or millions of neurons. -- The conclusion is -- supported by electrical studies, that all the cells of the brain are constantly active and are participating, by a sort of algebraic summation in every activity. There are no special cells reserved for special memories.

This was consistent with long term memory being based on structural changes in the synapses that interconnect neurons ('synaptic plasticity;' Hebb, 1949). The possibility of DNA as a neural memory store was considered by Francis Crick (1984), but he veered towards a network ('connectionist') viewpoint (Crick and Mitchison, 1995). In the twenty-first century the Hebbian network hypothesis came under attack and attention returned to storage of specific items of mental information as DNA (Dietrich and Been, 2001; Arshavsky, 2006a). Could Butler have been right? If so, then in a discipline 'marked by exceptional fractionation and disunity' could Butler's work, like that of his famous contemporary Gregor Mendel, now be construed as a 'missed signal' (Murray, Kilgour and Wasylkiw, 2000)?

A major reason for 'fractionation and disunity' is that, unlike most other body organs, the functions of the brain - especially its appearance of storing information for long periods - are poorly understood. The best remedy for disunity based on poor understanding is 'to go back to square one' - namely, to review the history. To fully appreciate Butler's contribution, it needs to be set in the context of both prior and recent contributions to the field. Accordingly, I here begin with terminology and describe the approaches through which we have successfully elucidated the storage of hereditary information (genome bioinformatics). After considering the possibility that both the synaptic plasticity and DNA hypotheses are incorrect, I then turn to various mysterious alternatives. Long term memory, be it chemical (e.g. an ordered sequence of units; i.e. digital information) or physical (e.g. vibrations; i.e. analog information), could be stored in the brain in some class of macromolecule other than DNA, or in some unknown sub-molecular form. In the absence of evidence for this, the brain 'cupboard' could be deemed bare. Discounting the dualistic view that brain memories are 'psychical,' existing in neither chemical nor physical forms (Bergson, 1911; Arshavsky, 2006b), some unknown form external to the nervous system then comes into contention. Thus, I conclude by considering attempts to quantify the information held within the human brain, and by reviewing modern aspects of Avicenna's view that the brain is a perceptual, rather than a storage, organ.

 

2. Terminology in long term memory research

In a recent survey, leaders in the 'science of memory,' while seeking to classify types of memory, were agnostic regarding the way or ways we store the information that makes memory possible. Instead, as in genetics a century earlier (see below), there was much debate on terminology (Tulving, 2007):

A frequently used term is 'representation,' another is 'coding.' -- Other well-known terms are 'engram,' 'memory image' and 'memory trace.' Each has its own connotations that vary from context to context and even from writer to writer, although the concept lying behind all these terms has been and continues to be relatively unambiguous.

Lisman (2007) thought failure to retrieve could be because 'the ink has completely faded' rather than because of a failure of the retrieval process itself. He concluded that 'once memory molecules responsible for persistence are identified, the investigation of persistence can be put on a solid footing.' Morris (2007) noted that listing the 'neuropsychological attributes of different types of memory' did 'not satisfy the molecular neuroscientist who might assert that we will not properly understand memory - any type of memory - until we know the molecules and the cell-biological mechanisms that mediate it.' Dudai (2007) observed: 'The question of how information is coded and represented in brain and cognition is considered by many as the most crucial problem in the neurosciences.' However, with some hand-waving, Moscovitch (2007) declared that memory should not be considered as 'a free-standing entity,' but as 'the product of a process of recovery (an act of memory) rather than an entity which exists independently of that process.'

Since our concern is long-term memory, in the present context 'memory' will be defined as 'stored information' - an object in the sense that the hard-drive of a computer is held to be a stable repository (Forsdyke, 2006b). The physiological process by which we retrieve stored information is commonly referred to as 'memory,' but due regard to context should avoid confusion. While we may refer to information retrieved from short or long term memories as 'the memory' or 'the working memory' of a fact or event, under our definition retrieved information is just that - retrieved information - it is not stored information. In the same sense, information moving along a wire is not stored by the wire (see below).

When stored information relating to a fact or event is retrieved/used by a person, we say that the person has 'remembered,' or has 'displayed memory of,' that fact or event. It does not follow that initially the information was accurately and completely produced/acquired for deposition in the store, or that the retrieved information was an accurate and complete copy of the stored information, or that the retrieved information took the same form as either the initially produced or stored forms. Thus, a hard-drive stores information as binary digits (bits) and its retrieval involves numerous transformations leading to display on a monitor. Under our definition, memory is unconscious. Information is retrieved from unconscious memory and it is either made conscious (i.e. a fact or event is recalled and may then influence some action), or it remains unconscious (i.e. we can know of its recall only if it influences some observed action of a type we would deem 'automatic' or 'instinctual').

To the extent that a wire can transmit information it, albeit momentarily, acts as a store for that information (Treves, 2007). However, the 'store' concept implies a time delay where information deposited at a site (through an act of transmission) is preserved at that site until a time when it may be retrieved (through an act of transmission). Since information can accumulate in a store then, for short transmission distances, the dimensions of the store could be greater than those of the wire. The act of deposition implies that there is a signal source (ultimately an information producer from which the information was acquired) and that the store is open and has sufficient space. The act of retrieval implies that the store is open and contains the information, and that there is a signal recipient (and hence a potential information user).

The nature and arrangement of the information in the store may influence the nature of future transmissions (acquisitions/retrievals) to/from the store, either by external agencies (e.g. a questioning teacher) or by the individual store owner (e.g. a student). For example, one's knowledge influences one's perception of one's environment (selective attention). The fact that cues can facilitate retrieval (Forsdyke, 1978), suggests that often the factor limiting retrieval is the retrieval process itself, rather than presence in the store.

 

3. Genome bioinformatics as heuristic

How we come to understand the informational aspects of one bioscience may be of heuristic value when we seek to understand informational aspects of another bioscience. Thus, irrespective of whether DNA is the basis of long-term brain memory, consideration of the research approaches through which we have, with spectacular success, come to understand the production/acquisition, storage, and retrieval/use of genomic information, may provide a guide to the approaches through which we may, in the future, come to understand the same triad with respect to brain information (Hamilton, 1859).

Neuroscience today may be in the same situation as genetics a century earlier. Abstract 'factors' or 'character units' (for which the name 'gene' was emerging) appeared to provide an informational basis for disparate phenomena. But being fully occupied describing such phenomena - associated with the production (by replication and variation) and retrieval (leading to phenotypic expression) of information in genes (the genotype) - the early geneticists were not overly worried about their material form (Forsdyke, 2001, 2006b; Cock and Forsdyke, 2008). Yet one geneticist recognized a need for 'a knowledge of the chemistry of life far higher than that to which science has yet attained,' and foresaw 'it may well be that before any solution is attained, our knowledge of the nature of unorganized matter must first be increased. For a long time yet we may have to halt' (Bateson, 1913). Indeed, only after the characterization of DNA forty years later (Watson and Crick, 1953) did there emerge a true understanding of the production (by replication and mutation) and retrieval (by transcription) of hereditary (genetic) information.

The genetic memory store was sufficiently stable to permit the information encoded within DNA to persist during an individual lifetime and through successive generations. Yet, regarding information production, DNA retained sufficient plasticity to allow mutations and the encoding of new genes. Regarding information retrieval, DNA stored in a distinct location (the cell nucleus) served as a template (master memory) from which ephemeral copies (messenger RNAs as 'working memory') could be dispatched (transcribed) often in response to specific recall signals. The information in messenger RNAs could then be translated as amino acid sequences (proteins), so giving expression to the corresponding phenotype. The cell (and hence the individual) containing the DNA could be seen as responding to the signals by expressing the recalled information in an adaptive manner. Thus, information in the nuclear store (genotype) could be retrieved, used, and then observed as phenotype. Knowledge of the chemical nature and location of the store facilitated the ablation of specific genes, the phenotypic consequences of which could then be observed. Unlike brain memory, where 'the only proof of there being retention is that recall actually takes place' (James, 1890), the student of heredity could directly work on DNA memory and was no longer confined to observing input and output from an abstract postulate (Capecchi, 2001).

However, sometimes ablation of segments of DNA produced no observable result - an indication of latency. We have long known from classical Mendelian studies that information can remain latent in DNA, perhaps for many generations. Some DNA information can exist independently of its recall. It does not require validation by frequent recall. If and when it occurs, the recall process can sometimes change the information (e.g. by exchanging base units; Mattick and Mehler, 2008). Genetic information when expressed can be less (or more) than the genetic information existing in DNA. Indeed, sometimes recall (transcription) of DNA information can change the master template itself (Beletskii and Bhagwat, 1996). Thus, the processes of acquisition, storage and retrieval of genetic memories are interdependent to a greater extent than might appear from their sequential order.

 

4. Brain memory and heredity equated

For millennia people have questioned, not that memory is located in the brain, but what form it can take in the brain. Through introspection and observation of others, many facts of memory were as apparent to our ancestors as to us today (Martino, 2007). The Swiss naturalist Charles Bonnet (1776) noted:

Since this memory is connected with the body, it must depend upon some change which must happen to the primitive state of the sensible fibres by the action of objects. I have, therefore, admitted as probable that the state of the fibres on which an object has acted is not precisely the same after this action as it was before. I have conjectured that the sensible fibres experienced more or less durable modifications, which constitute the physics of memory and recollection.

The notion that hereditary information and mental information were stored in the same form occurred independently to Hering, a professor of physiology in Prague, and to Butler (Cock and Forsdyke, 2008). However, whereas Hering (1870) published only one essay - 'On memory as a universal function of organized matter,' - Butler developed the theme in numerous books and papers, beginning with his novel Erewhon in 1872 and terminating, in exasperation, in the 1890s (Jones, 1919). Previously I discussed their work with a focus on heredity (Forsdyke, 2006a). The present paper considers mental aspects.

Noting our inability to go 'behind the scenes' and directly observe memory, Hering lamented that the 'threads' of unconscious life could only be perceived if they became conscious (Butler, 1880):

I was conscious of this or that yesterday, and am again conscious of it today. Where has it been in the meanwhile? It does not remain continuously within my consciousness, nevertheless it returns after having quitted it. Our ideas tread but for a moment upon the stage of consciousness, and then go back again behind the scenes, to make way for others in their place. As the player is only a king when he is on the stage, so they too exist as ideas so long only as they are recognized. How do they live when they are off the stage? For we know that they are living somewhere; give them their cue and they reappear immediately. They do not exist continuously as ideas; what is continuous is the special disposition of the nerve substance in virtue of which this substance gives out today the same sound which it gave yesterday if it is rightly struck. -- Between the 'me' of today and the 'me' of yesterday lie night and sleep, abysses of the unconscious; nor is there any bridge but memory with which to span them. Who can hope after this to disentangle the infinite intricacy of our inner life? For we can only follow its threads so far as they have strayed over within the bounds of consciousness.

Hering and Butler drew parallels between unconscious inborn behavior (e.g. a new born chick knowing instinctively how to run and peck), and unconscious learned behavior (e.g. the automatic replaying of a musical composition by a professional pianist). They proposed that (1) both types of unconscious activity had the same stored informational base and, for economy of hypothesis, (2) actions, ideas and facts that became conscious would also derive from this common base.   

Although not committed to vibration ideas, Butler explored possible mechanisms by which vibrations might interact to allow associations and recall (Butler, 1880):

If this memory remains for long periods together latent and without effect, it is because the undulations of the molecular substance of the body which are its supposed explanation are during these periods too feeble to generate action, until they are augmented in force through an accession of suitable undulations issuing from external objects; or, in other words, until recollection is stimulated by a return of the associated ideas. On this the internal agitation becomes so much enhanced, that equilibrium is visibly disturbed, and the action ensues which is proper to the vibration of the particular substance under the particular condition.

These words can be compared with those of a modern neurophysiologist (Pribram, 1991): 'Brain processes undergo a dynamic matching procedure until there is a correspondence between the brain's microprocesses and those in the sensory input. -- We consider brain processes to resonate to the patterns that stimulate the senses.' Similarly, information scientist Pieter van Heerden (1968) considered that: 'Intelligence amounts simply to matching the incoming information with a huge reservoir of stored information. This matching has to be carried out physically, bit by bit, in space and time.' Butler (1880) was also concerned with matching when correspondences were not perfect:

If the memory -- were absolutely perfect; if the vibration (according to Professor Hering) on each repetition existed in its full original strength and without having been interfered with by any other vibration; and if, again, the new wave running into it from exterior objects on each repetition of the action were absolutely identical in character with the wave that ran in upon the last occasion, then there would be no change in the action and no modification or improvement could take place. -- On any repetition, however, the circumstances, external or internal, or both, never are absolutely identical; there is some slight variation in each individual case, and some part of this variation is remembered, with approbation or disapprobation as the case may be. The fact, therefore, that on each repetition of the action there is one memory more than on the last but one, and that this memory is slightly different from its predecessor, is seen to be an inherent and, ex hypothesi, necessarily disturbing factor in all habitual action. -- This is the key to accumulation of improvement -- . The memory does not complete a true circle, but is, as it were, a spiral slightly divergent therefrom.

 

5. Butler and Semon

The lives of generations of Butlers, Darwins and Batesons overlapped through their common schooling (Shrewsbury and Cambridge University). At Cambridge Butler studied mathematics and classics and gained a first class degree in the classical tripos of 1858. The following year he sailed to New Zealand with the leading biochemistry textbook of his time - Justus von Liebig's Agricultural Chemistry. Shortly thereafter he acquired a copy of Charles Darwin's The Origin of Species as, back in Europe, did Gregor Mendel who was quietly founding the science of genetics. While Mendel was breeding peas and reading Darwin in Moravia, Butler was breeding sheep and reading Darwin in New Zealand. His correspondence with his father, a clergyman with an interest in botany, reveals a keen eye for geology and for new plants and animals (Butler, 1863). Hoping to achieve financial independence, Butler set out to make, not just a living, but a small fortune. This focused his mind powerfully on the task of keeping his flocks healthy and reproductive. His first articles on evolution were published in New Zealand and soon received Darwin's commendation. In 1864 Butler returned to a life of art and scholarship in London, where he resided with his cat only a short walk from the British Museum Library, and twice visited Darwin at his house in Kent (Cock and Forsdyke, 2008).

In his first major book on evolution, Life and Habit, Butler expressed his debt to the philosopher Ribot in Paris (Butler, 1878), but he had been unaware of Hering's essay, which he was later quick to acknowledge. The fact that Butler had independently achieved the same synthesis as one of Europe's leading neurophysiologists attests to the depth of his reading and the penetrance of his thought. However, the book's modest introduction gave ammunition to those who might later disparage it on account of the author's lack of formal education in biology: 'My aim is simply to entertain and interest the numerous class of people who, like myself, know nothing of science, but who enjoy speculating and reflecting (not too deeply) upon the phenomena around them.' Wallace (1879) reviewed the book positively advising 'careful consideration to the views of a writer who, although professedly ignorant of all science, yet possesses "scientific imagination" and logical consistency to a degree rarely found among scientific men.' Furthermore, beneath the 'sparkling surface there is -- much solid matter, and though we can at present only consider the work as a most ingenious and paradoxical speculation, it may yet afford a clue to some of the deepest mysteries of the organic world.' Although Butler is not named, a hint at the furor wrought among those around Charles Darwin ('Grampus') is provided by the novelist George Eliot (1879) in her Impressions of Theophrastus Such. Yet, with hindsight, Butler's alleged superficial knowledge of the literature of science appears of little consequence when compared with the Darwinians' unawareness of the contribution of Mendel (1866) to that literature.

Butler's third evolution book, Unconscious Memory (1880), received severe criticism from Darwin's research associate, the neurophysiologist George Romanes (1848-1894). Bewildered 'at the vanity which has induced so incapable and ill-informed a man gravely to pose before the world as a philosopher,' Romanes was given three pages in Nature (1881) to vent his discontent:

Now this view -- is interesting if advanced merely as an illustration; but to imagine that it reveals any truth of profound significance, or that it can possibly be fraught with any benefit to science, is simply absurd. The most cursory thought is enough to show that, whether we call heredity unconscious memory, or [call] memory of past states of consciousness the hereditary offspring of those states, we have added nothing to our previous knowledge either of heredity or of memory.

Butler's reply was initially stonewalled by the editor - a friend of Romanes (Forsdyke, 2004). It required a letter to the publisher, Macmillan, threatening legal action, to secure publication (Jones, 1919). While criticizing with one hand, Romanes appeared to be adopting Butler's ideas without acknowledgement with the other (Butler, 1890). Indeed, Romanes was taken to task in The Athenaeum (Anonymous, 1884) for not having the "literary courtesy" to cite Butler (Romanes, 1884a). This was brushed off by Romanes (1884b):

There can be no memory in a seed or in an egg, and therefore when we say that a plant grows out of a seed, or an animal grows out of the egg, because they each remember to have done the same thing many times before and thus know how to do it again, we are merely restating the observed facts of heredity in metaphorical terms. With just as much, or as little, meaning we might attribute the observed facts of chemical affinity to the sundry elements falling in love with one another. Of course I should have no objection -- if it were represented to be what, in fact, it is - a metaphorical or poetic rendering of observed phenomena. My objection begins when I find that he lays claim to furnish a scientific explanation of the phenomena of heredity by any such means.

There followed a heated debate enjoined by the zoologist E. Ray Lankester and the philosopher Herbert Spencer. A literal interpretation of Butler's argument, namely the possibility that each cell of a body might contain a memory (stored information) in the form of a linear text (now known as DNA) that could specify the individual characters and development of the organism, was quite beyond the conceptual framework of Romanes and his contemporaries.

For over a decade Butler fought back claiming he was writing for 'future students of the literature of descent' rather than for 'my immediate public' (Butler, 1887). He then moved on to more congenial pursuits. However, direct but qualified support came from Marcus Hartog, Professor of Zoology in Cork and, less conspicuously, from Darwin's son Francis (Cock and Forsdyke, 2008). From America came indirect support through praise of Hering alone (Cope, 1882). In a discussion of heredity (which he called 'genesiology'), Alpheus Hyatt (1893) referred positively to Hering's 'mnemonic theory,' or the 'theory of mnemogenesis.'

Two years after Butler's death in 1902, the German biologist Richard Semon (1859-1918) in his Die Mneme revived the ideas of Hering and Butler, even to the extent of their proposal that some of the brain memory of a parent would be passed through the germ-line to its offspring (Lamarckism; Forsdyke, 2006a). Hering and Butler were acknowledged, but Butler's 'brilliant' ideas were considered to be 'mixed with so much questionable matter, that the whole, compared with Hering's paper on the same subject, is rather a retrogression than an advance.' The latter quotation is from an English translation (Semon, 1921) made between 1912 and 1914 with input from Semon, whose unbridled Lamarckism was backed by numerous references to experiments later found to be in error or fraudulent - the studies in Oslo of F. C. Schubeler, in Chicago of William Tower, and in Vienna of Paul Kammerer (with whom Semon frequently corresponded; Schacter, 2001). Regarding 'the famous case of Schubeler's wheat,' William Bateson (1913) considered that 'without careful simultaneous control experiments this evidence is almost worthless,' and was 'surprised that Semon should claim these experiments as one of the chief supports for his views.' It is likely that Bateson discussed such experiments with Nikolai Vavilov when he visited England in 1913, and the criticism may have been a factor in Kammerer's suicide in 1926 (Cock and Forsdyke, 2008). Years later, claiming successful transmission of the early maturing (vernalized) state to wheat offspring, Trofim Lysenko, with Stalin's help, sent Vavilov and other Russian geneticists to early graves (Cock and Forsdyke, 2008).

It was not essential that Lamarckism be correct for there to be a fundamental equation between the two storage forms for heredity and for brain memory (dubbed 'engrams' by Semon). Lamarkism was concerned with the manner of the transmission of hereditary information, not with its form. Nevertheless, Semon's work was much criticized (Schacter, 1982). A bright spot was the 1908 Presidential Address to the British Association where Semon was warmly praised by Francis Darwin who 'expressed my indebtness to this work, as well as for the suggestions and criticisms which I owe to Professor Semon personally.' A second book, Die mnemischen Empfindungen, published in 1909, was translated as Mnemic Psychology with an introduction by Vernon Lee (Semon 1923). She noted that Semon had 'advocated the views concerning Memory and Heredity with which many of us English lay readers are familiar, thanks to the literary genius and incomparably challenging personality of Samuel Butler.'

In 1918, amidst war-end anarchy, Semon's wife died of cancer and Semon committed suicide. Since many in Germany at that time suffered equally deeply, his biographer doubted whether the 'psychological roots of Semon's demise' could be 'unambiguously specified' (Schacter, 1982). As with Kammerer, the criticism of his work may have been a factor. In an introduction to a reprinting of Unconscious Memory, Hartog (1910) had examined Semon's above-quoted 'judgement' on Butler, noting that: 'Since Semon's extended treatment of the phenomena of crosses might almost be regarded as the rewriting of the corresponding section of "Life and Habit" in the "Mneme" terminology, we may infer that this view of the question was one of Butler's "brilliant" ideas.' Semon having cited Butler, albeit only once, there was no question of plagiarism. Nevertheless, in his article 'Samuel Butler and recent mnemonic theories,' Hartog (1914) pointed out that Semon's few references to Hering and Butler in Die Mneme barely reflected his debt to those authors. Comparing Life and Habit with Die Mneme, paragraph by paragraph, Hartog noted that 'the confluence of his [Semon's] thought with Butler's is at this point absolute, and the same holds good for a great part of Die Mneme.' The date is ominous. With war-time restrictions on scientific communication (Cock and Forsdyke, 2008), it is possible that Semon did not learn of the criticism until 1918.

Apart from his word 'engram,' Semon might have sunk from view had it not been for a paper noting that his 'rich theoretical constructs and novel conceptualizations' had been praised by many leading figures, including the philosopher Bertrand Russell and the physicist Erwin Schrodinger (Schacter, Eich and Tulving, 1978). Although there was mention of the early work of Hamilton (1859), the paper confined its historical context to the period 1885-1935 and there was no mention of Hering or Butler. This omission was corrected in a later book, but the correction was primarily to disparage. Butler was labeled 'a classical crank' in the same category as Lysenko (Schacter, 1982). Despite a reprinting of the book, without amendment save for a new title (Schacter, 2001; Murray, 2002), Semon's terms 'engraphy' (acquisition), 'ecphory' (activation for retrieval) and 'homophony' (a development of  the resonance ideas of Butler), have not been widely adopted.

 

6. Savants and information measurement

While the distinction between labile short term memory (disruptable by trauma or electric shock) and stable long term memory has been relatively clear (Ribot, 1882; Dudai, 2004), in a review of a century's progress McGaugh (2000) acknowledged that 'despite theoretical conjectures' little is known of the processes by which information relating to human long term memory is consolidated for storage. Not so readily acknowledged was the fact that our knowledge of the location of the store was equally deficient. The reason is not difficult to discern. In general, when contemplating potential storage sites for an object, we take into account whether it is likely to be needed at short notice, its size, stability, and potential compressibility. We know that human long term memory can be stable and is often accessible at short notice, but fitting it into the cranial 'suitcase' faces the twin problems that we know neither what form (or forms) it can take, nor its magnitude, save that it is very great and, in savants, amazingly so.

Regarding magnitude, as a rough yardstick we can take DNA with its four base 'letters' (the purines A and G, and the pyrimidines C and T). Making the simplifying assumption that each letter is equally probable in a DNA sequence, then two 'yes/no' decisions are required to assign a letter. Is the letter a purine? If no, it must be a pyrimidine. If yes, is it A? If not, it must be G. Information scientists then say that each letter is 'worth' two 'bits' (binary digits) of information. By this measure, the information content of a haploid human genome (3 x 109 bases) is 6 x 109 bits. This is similar to the information capacity of a standard 12 cm diameter compact disk (700 megabytes = 5.6 x 109 bits). Normally two haploid DNA copies (of paternal and maternal origin) are confined within the nuclear membrane of a cell (12 x 109 bits; Forsdyke, 2006b).  

Apart from his other memories, a savant described by Treffert and Christensen (2005) was able to recall 9000 books. If each book had 100 pages each containing 1000 letters then, making the simplifying assumption that each letter is equally probable and, being drawn from a 26 letter alphabet, is worth 5 bits, his memory for books is at least 4.5 x 109 bits. Thus, the DNA of just one cell, if it had no other functions, would be sufficient to encode this. From various assumptions, von Neumann (1979) estimated a lifetime accumulation of 2.8 x 1020 bits which, from the above assumptions, could be held in 2.3 x 1010 cells. Assuming 5 x 105 cells per cc of brain (Heller and Elliott, 1954), this would require a brain volume of 5 x 104 cc (i.e. the volume of a cube with 37 cm sides). Discounting the amount of detail involved in the storage of pictorial information, Landauer (1986) arrived at an estimate considerably lower than that of von Neumann. However, a recent study concludes that "visual long-term memory has a massive storage capacity for object details" (Brady et al., 2008). Given the uncertainty of the assumptions, the idea of cranial DNA storage of long term memory would seem not too far out. If so, one might expect to find either quantitative or qualitative differences between the DNAs of brain cells and cells of other tissues. Furthermore, species with large brain memories would have more DNA in their brain cells than species with small brain memories.

The brain is the organ par excellence that defines the human animal. Yet human brain cells have the same quantity of DNA as other cells of the human body and, indeed, as the cells of mammals in general (which includes rodents and other primates; Heller and Elliott, 1954; Leslie, 1955). Conventional genes make up less than 2% of DNA and the remaining 98%, sometimes dismissed as "junk," likely serves functions other than brain memory (Forsdyke, 2006b). It is now technically feasible to qualitatively compare DNAs of individual brain cells from different parts of a fresh post-mortem human brain. From the above, the presumption is that differences of an order sufficient to account for individual memories will not be found (Kaminsky et al., 2005).

Just as in some written languages certain letters are given accents to guide pronunciation, DNA can be modified by the addition of chemical groups (methylation) to base units. Whether this would account for long term memory remains to be determined (Holliday, 1999; Arshavsky, 2006a). There are various observations that warrant further study. For example, in brain cells an unknown chromogenic substance can interfere with the quantitation of DNA (Heller and Elliott, 1954). But, on balance, current evidence indicates that, regarding memory, the brain's DNA 'cupboard' is bare. This raises the question of non-DNA alternatives. Broadly, this category includes other polymers (RNA, protein, lipid, carbohydrate; Mercer et al., 2008; Routtenberg, 2008) or submolecular forms perhaps related to "quantum computing" (Venema, 2008). Also in this category is the idea of the brain as a three dimensional holographic storage network (Heerden, 1963; Pribram, 1971).

 For all these alternatives the thinking is conventional in that long term memory is held to be within the brain. The unconventional alternatives are that the repository is either elsewhere within the body, or extra-corporeal. The former is unlikely since the functions of other body organs are well understood. Remarkably, the latter has long been on the table (Avicenna, 1631). Since it requires ad hoc postulates for which there is barely a shred of evidence, we should first prepare the ground.

 

7. Internal signal detection and emission

We are surrounded by moving forms of energy/mass (wave/particles), some of which we can detect biologically (e.g. photons), some of which react only weakly if at all with cells (Maeda et al., 2008), and some of which, as far as we know, are not detected biologically (Wilczek and Devine, 1987). Even instruments detect some forms only with difficulty (e.g. neutrinos). Other postulated forms are either undetectable, or their detectability is much debated (Bernabei et al., 2004).

The first life forms to evolve (the "replicators"; Dawkins, 1976) probably did not detect photons. They existed in a sea of photons but were blind to them. At some point, through mutation, some molecules within a life form happened to acquire the ability to respond to photons. Through natural selection that organism prospered and its descendents further evolved their photon-detection abilities so that today we see organisms with external organs (eyes) specialized for this task. Likewise, we see ears specialized for sound waves.

To some extent, the size of an organ reflects the importance of the corresponding modality for survival. But wave/particle detection does not necessarily correlate with an external organ. A wide variety of species, including mammals and birds, orientate using the earth's weak magnetic field, a process that may depend on the sensitivity of free radical reactions to magnetic influence ('chemical magnetoreception;' Maeda et al., 2008). Also, certain 'magnetotactic' bacteria can concentrate particles of iron oxide - minicompasses - within themselves (Frankel and Blackmore, 1989). With magnetic fields there is little delay between detection and an interpretation that leads to an adaptive response. Furthermore, since the signal is not impeded by biological tissues, receptors can be located internally.

In principle, an organism that can receive a signal from its environment has the potential to evolve to transmit that type of signal to its environment. A firefly detects photons with its eyes, but it can also transmit photons to external eyes, which include our eyes. The photons are meant to attract another individual of the same species of the opposite sex. Males and females of a given firefly species intercommunicate by means of specific movements as they emit light (Lewis and Cratsley, 2008). Hence a firefly of one species will not attempt to mate with a firefly of another species. There is discrimination between individuals within a species in that an individual emitting stronger signals will be preferred. However, a firefly cannot focus its signal on a particular individual. From this we can conclude that, (1) if at some point in time, it became of adaptive advantage to an organism to detect a form of wave/particle, and (2) if such detection were within the realm of physical possibility, and (3) if the appropriate mutations occurred, then we might later find in its descendents an external or internal structure that would mediate such detection. Furthermore, the organism, by virtue of the same or a different structure, might act as a source of the same form of wave/particle, which might be transmitted with some degree of specificity to a given target.

 

8. Brain as a perceptual organ

The transmission of linguistic information between early hominoids, first orally and then in written form, is regarded as a major evolutionary event (Noll, 2003). To corporeal transmission from generation to generation through heredity was added extra-corporeal transmission through language written on some medium permitting long-term storage either locally or at a remote site (Romanes, 1895). In the twentieth century, to writings preserved on stone and paper were added recordings on computer hard-drives (Draaisma, 2000). Computer scientist John McCarthy (1972) noted there was no intrinsic need for a hard-drive to be near the computer it served. With the advent of the internet this has become a reality. Local data storage needs can be low. Instead, files are saved to, and accessed at, a remote location (e.g. the 'cloud computing' offered by Amazon Corporation).

With this example in mind, it is easy to imagine that a biological system - a brain - might store information similarly. We can think of a brain as both a perceptual, and a transmitting, organ. There would need to be a two-way transaction, from the brain to the extra-corporeal information store, and back from that store to the brain's 'retina.' There would have to be an appropriate form of 'thought ray' that would vastly exceed the speed of light. Furthermore, one would transmit and 'see' with one's brain only personal messages. Incredible though this may seem (see next section), such a scheme, based on the idea of the universe as a holographic information storage device and the principle of "non-locality" (Bohm, 1981) has been given 'a possible "hardware" implementation' by computer scientist Simon Berkowitz (1993), and cited with approval by a leading neurophysiologist (Pribram, 1991).

Initial, short-term 'synaptic consolidation' of brain information, dependent on protein synthesis, occurs in a few hours (short-term memory) and involves the expression of various genes (including those encoding regulators of G-proteins and transcription factors; Fordyce et al., 1994; Ingi et al., 1998). These genes are also involved in signal reception by non-neural cells (Siderovski et al., 1990), so  are not brain-specific. For long-term memory, later (or in parallel) 'system consolidation,' independent of protein synthesis, takes weeks or months for completion (Dudai, 2004). The latter would correspond to the period of transmission of information to the postulated remote store. In that recall would appear to be almost instantaneous, under this hypothesis the brain's power as a perceptual organ would appear even more amazing than its power as a transmitter.

Berkowitz (2007) sees the brain as a receptor/transmitter of a form of wave/particle for which no obvious external structure would be needed. For example, consider 'dark matter particles.' Much of the mass of the 'universe' is dark matter that does not absorb light. Light waves from distant parts pass through dark matter but are unaffected by it. We know that dark matter exists because, by virtue of its great mass, it affects the movement of visible objects. Whatever dark matter is, it does not seem to consist of the same building blocks as visible matter (protons, neutrons, electrons; Wilczek and Devine, 1987). Currently it is hoped that 'dark matter particles' will, like neutrinos, be detected by devices hidden deep in the earth to screen out other signals. Indeed, using a device containing ultrapure sodium iodide crystals, which should emit photons when struck by dark matter particles, Bernabei et al. (2004) have claimed positive results.

Irrespective of whether the putative 'thought ray' wave/particle does relate to dark matter, the point is that there are wave/particles 'out there' that we are just beginning to understand. Paralleling the detection of photons by a complex of coenzyme (retinol) and protein (rhodopsin), it is quite conceivable that something akin to sodium iodide (acting as a coenzyme) might be bound in a specific configuration by a protein (enzyme) so as to screen out other signals and detect only one type of wave/particle. Just as the retinol-rhodopsin system evolved, so other systems conferring adaptive advantages could evolve. If we are to take Wallace seriously (see Introduction), this adaptive advantage (or an exceedingly improbably chance event) could have occurred just prior to the emergence of Homo sapiens.

As for personifying messages, one possibility would involve global position monitoring, since each individual occupies a distinct (albeit moving) position in time and space (O'Keefe and Burgess, 2005). Another possibility would be a barcode labeling system (Berkovich, 2007). Whatever the system, the stored information, wherever it may be, should be structured in some way - i.e. it should have a syntax. Presuming this syntax to have evolved before the evolution of our spoken language, then the "deep structure" of this preexisting syntax might have guided the evolution of our linguistic syntax (Chomsky, 1965). Indeed, digital language acquisition appears late both in anthropoid evolution and in human development, seeming to dictate a period of post-natal brain expansion and continuing foetus-like helplessness that contrasts dramatically with the newborn state of our nearest anthropoid relatives (Noll, 2003).  Finally, it can be noted that a possible consequence of failure to personify accurately could be Lamarckian transmission to offspring by a path (parent to extra-corporeal agency and back to offspring) differing from that of classical Lamarckism (parent to germ-line to offspring). Indeed, this line of reasoning could explain various neuropathological states such as alleged multiple personality syndrome (Ribot, 1882).

 

9. Argument from incredulity

The 'gazing rustics rang'd around' the parson found it incredible that 'one small head could carry all he knew.' But we may be sure that none really doubted that it did. Not so the Arabic physician Avicenna (980-1037), who declared the brain cupboard to be bare. He 'denied to the human mind the conservation of its acquired knowledge' and explained 'the process of recollection' as 'an irradiation of divine light, through which the recovered cognition is infused into the intellect' (Hamilton 1859). Similarly, Murray (1988) refers to Avicenna's 'agent intellect' which 'acted to transmute sensory knowledge into a kind of knowledge that was not "material" - that is, not associated with any body part.' Perhaps Avicenna had observed that, despite the intellectual impairment of human microcephalics, there were exceptional cases where 'intelligence' (to which memory must make a considerable contribution) is normal (Teebi, Al-Awadi and White, 1987; Hennekam, van Rhijn, and Hennekam, 1992). More likely, Avicenna was influenced by the culture of Arabic psychological science which attempted to apply 'the laws of physics to the soul-body complex' (Martino, 2007). Following the death of a body its extra-corporeal long-term memory might persist for some time - the physical equivalent of the term 'soul' (Yrjonsuuri, 2007). Thus, its 'soul' would not leave a body at death since it had never been in the body in the first place. Rather, death would leave the 'soul' stranded.

Nevertheless, the notion that our mental information is stored outside the brain is even more incredible than that it be stored inside. Our credulity is further stretched by the need for ad hoc postulates - e.g. ultrafast 'thought rays.' Even if we disregard the religious baggage associated with the phrase 'divine light,' the arguments of the professionals (Bohm, 1981; Berkovich, 1993), and discussions of paranormal phenomena by others (Talbot, 1991), sound like science fiction, and are unlikely to convince the readers of this paper. Neither do they its author. However, there may be vestiges of truth amongst the dross that we poor creatures, imprisoned within the first decade of the twenty-first century, can comprehend no better than those imprisoned in the penultimate decade of the nineteenth century could comprehend Butler.

The problem is compounded by activities of the 'intelligent design' movement which may interpret the holographic universe idea as showing that it was right all along. But the present paper, like its predecessor (Forsdyke, 2006a), lends no comfort in this respect. It simply states that we must shift our preoccupation with the biosphere to appreciate that life evolved as the result of interactions both terrestrial and extra-terrestrial. Our ability to respond to photons, most of which are generated extra-terrestrially, is an obvious example. Whatever is 'up there' and whatever is 'down here,' they coevolved by a process that can be construed as monistic and, in its essentials, Darwinian. This seems to be the point that anthropologist Gregory Bateson, the atheist son of an atheist father (William), was struggling to articulate in the 1970s (Bateson, 2008): 'There is something that human religions are trying to get at that matters. And they get at some of it in many different ways which include vast amounts of nonsense, much of it dangerous, but we perhaps do not yet have a better way of getting at it, whatever it is.'

 

10. Conclusions

Yes, to the extent that Butler foresaw DNA and that modern commentators invoke DNA as a memory store, Butler's work was a 'missed signal' (Murray, Kilgour and Wasylkiw, 2000). However, the field is in disarray and DNA is but one of a range of possible solutions to the memory problem. Neurophysiologist Eric Kandel (2006) observes: 'In the study of memory storage, we are now at the foothills of a great mountain range. -- To cross the threshold from where we are to where we want to be, major conceptual shifts must take place.' Hopefully such shifts will instigate an inventory of brain-specific macromolecules to exclude a polymeric form that, DNA-like, might store information digitally. Before seeking exotic storage modalities, we should ensure that the brain 'cupboard' is indeed bare of forms more in keeping with current paradigms. Furthermore, although brain information may be stored in some sub-molecular form, or even extra-corporeally, at some point that storage form would have to interface with more conventional macromolecular species (e.g. proteins). Specific adaptations for this role would distinguish them from other macromolecules.

Thus, despite the fascinating ongoing studies of input and output from brain memory that occupy so many, it seems in William Bateson's words that 'for a long time yet we may have to halt.' As things get more complex new properties may emerge - the principle of emergent properties. Such properties may be merely decorative (Gould, 2002), or they may function in some novel context. When we incorporate the universe in our evolutionary scheme (i.e. a higher level of complexity than the terrestrial) we should recognize the possibility of the emergence of new properties, even though we may know, neither if such an emergence would be feasible, nor what the properties might be and what scientific discipline might best address them. In practical terms, the halt means a diversion of resources to allow new contributions from a variety of disciplines. The Butler heuristic might guide our future studies. That which is deemed metaphorical may not remain so. Metaphors can die and become literal (Draaisma, 2000). There will be those, like Butler , who will urge us to lift our eyes to new horizons (Berkovich, 1993). While they may lack a formal training in neuroscience, we should listen carefully.

 

11. Summary

Two main arguments for extra-neural long-term storage of brain information have been presented, one quantitative and one historical. 1. Human brain size does not correlate with the quantity of information it appears to contain. Savants do not have larger brains than normal, and microcephalics do not necessarily have subnormal memories.  2. Charles Darwin spent much time setting out various combinations of 26 units in linear order on paper. Yet, that each cell of an organism might contain similar digital information, now known as DNA, was beyond his conceptual horizon. Likewise, many today compute using remote information storage yet are unlikely to countenance the possibility that their own brains might functioning similarly. While this may appear far fetched, with the emotional attack on Butler in mind, hopefully they will considered it objectively.  

 

Acknowledgements

David Murray reviewed the text and gave much valuable advice. Queen's University hosts my web-pages where some of the cited articles may be found.

 

References

Anonymous. 1884. Science: Mental Evolution in Animals, By G. J. Romanes. The Athenaeum, Number 2940, March 1, pp. 282-283.

Arshavsky, Y. I., 2006a. 'The seven sins' of the Hebbian synapse: can the hypothesis of synaptic plasticity explain long-term memory? Prog. Neurobiol. 80, 99-113.

Arshavsky, Y. I., 2006b. 'Scientific roots' of dualism in neuroscience. Prog. Neurobiol. 79, 190-204.

Avicenna, 1631. Conimbricenses, In De Memoria et Reminiscentia. Cited by William Hamilton (1859). In: Mansel H. L., Veitch, J. (Eds.), Lectures on Metaphysics and Logic. Vol. 2. Blackwood, Edinburgh, p. 209.

Bateson, M. C., 2008. Angels fear revisited: Gregory Bateson's cybernetic theory of mind applied to religion-science debates. In: Hoffmeyer, J. (Ed.), A Legacy for Living Systems. Gregory Bateson as Precursor to Biosemiotics. Springer, New York, pp. 15-25.

Bateson, W., 1913. Problems in Genetics. Yale University Press, New Haven, pp. 83 and 86, pp. 189-212.

Beletskii, A., Bhagwat, A. S., 1996. Transcription-induced mutations: increase in C to T mutations in the nontranscribed strand during transcription in Escherichia coli. Proc. Natl. Acad. Sci., USA 93, 13919-13924.

Bergson, H., 1911. Matter and Memory. Swan Sonneschein, London .

Berkovich, S. Y., 1993. On the information processing capabilities of the brain: shifting the paradigm. Nanobiol. 2, 99-107.

Berkovich, S. Y., 2007. Ultimate Irreversibility in the Universe: Continuous Holographic Recording of Every Event and Biological Memory as Part of It. George Washington University Technical Report CS-07-006 (13 December). Available online at: www.cs.gwu.edu/research/reports-detail.php?trnumber=TR-GWU-CS-07-006 (accessed 1 June 2008).

Bernabei, R., Belli, P., Cappella, F., Cerulli, R., Montecchia, F., Nozzoli, F., Incicchitti, A., Prosperi, D.,  Dai, C. J., Kuang, H. H., Ma, J. M., Ye, Z. P., 2004. Dark matter particles in the galactic halo: results and implications from DAMA/NaI. Int. J. Mod. Phys. D 13, 2127-2159.

Bohm, D., 1981. Wholeness and the Implicate Order. Routledge, Kegan, Paul, London, pp. 171-213.

Bonnet, C., 1776. The Contemplation of Nature. Longman, Becket, de Hondt, London, p. 38.

Brady, T. F., Konkle, T., Alvarez, G. A., Oliva, A., 2008. Visual long-term memory has a massive storage capacity for object details. Proc. Nat. Acad. Sci. USA 105, 14325-14329.

Butler, S., 1863. A First Year in Canterbury Settlement. Longmans, London.   

Butler, S., 1878. Life and Habit. Trubner, London, p. 216.

Butler, S., 1880. Unconscious Memory. Bogue, London, p. 96, pp. 109-110, p. 227, pp. 259-260.   

Butler, S., 1887. Luck or Cunning as the Main Means of Organic Modification? Trubner, London, p. 2.

Butler, S., 1890. The deadlock in Darwinism. In: Streatfeild, R. A. (Ed.), 1904. Essays on Life, Art and Science. Grant Richards, London, pp. 234-340.

Capecchi, M. R., 2001. Generating mice with targeted mutations. Nature Med. 7, 1086-1090.

Chomsky, N., 1965. Aspects of the Theory of Syntax. MIT Press, Cambridge, MA.

Cock, A. G., Forsdyke, D. R., 2008. 'Treasure Your Exceptions.'.The Science and Life of William Bateson. Springer, New York, pp. 511-514, pp. 521-558, pp. 567-584, pp. 585-599.

Cope, E. D., 1882. On archaesthetism. Am. Nat. 16, 454-469.

Crick, F., 1984. Memory and molecular turnover. Nature 312, 101.

Crick, F., Mitchison, G., 1995. REM sleep and neural nets. Behav. Brain Res. 69, 147-155.

Darwin, F., 1908. Address to the British Association for the Advancement of Science, Dublin. The British Association, London, pp. 14-22.

Dawkins, R., 1976. The Selfish Gene. Oxford University Press, Oxford, pp. 13-21.

Dietrich, A., Been, W., 2001. Memory and DNA. J. Theor. Biol. 208, 145-149.

Draaisma, D., 2000. Metaphors of Memory. A History of Ideas about the Mind. Cambridge University Press, Cambridge , p.13, p. 155.

Dudai, Y., 2004. The neurobiology of consolidation, or how stable is the engram? Ann. Rev. Psychol. 55, 51-86.

Dudai, Y., 2007. Coding and representation. In: Roediger, H. L., Dudai, Y., Fitzpatrick, S. M. (Eds.), Science of Memory: Concepts. Oxford University Press, New York.

Eliot, G., 1879. Impressions of Theophrastus Such. Blackwood, Edinburgh, pp. 27-37.

Fordyce, D. E., Bhat, R. V., Baraban, J. M., Wehner, J. M., 1994. Genetic and activity-dependent regulation of ZIF268 expression: association with spatial learning. Hippocampus 4, 559-568.

Forsdyke, D. R., 1978. Comparison of short and multiple-choice questions in evaluation of students of biochemistry. Med. Educ. 12, 351-356.           

Forsdyke, D. R., 2001. The Origin of Species, Revisited. McGill-Queen's University Press, Montreal.

Forsdyke, D. R., 2004. Grant Allen, George Romanes, Stephen Jay Gould and the evolution establishments of their times. Historic Kingston 52, 95-103. 

Forsdyke, D. R., 2006a. Heredity as transmission of information: Butlerian intelligent design. Centaurus 48, 133-148.   

Forsdyke, D. R., 2006b. Evolutionary Bioinformatics. Springer, New York, p. 23, p. 41, pp. 251-272.

Frankel, R. B., Blackmore, R. P., 1989. Magnetite and magnetotaxis in microorganisms. Bioelectromagnetics 10, 223-237.

Goldsmith, O., 1770. The Deserted Village. Griffin, London.

Gould, S. J., 2002. The Structure of Evolutionary Theory. Harvard University Press, Cambridge, MA, pp. 1249-1258.

Hamilton, W., 1859. Lectures on Metaphysics and Logic. In: Mansel, H. L., Veitch, J. (Eds.), Vol.  2. Blackwood, Edinburgh, pp. 205-222.

Hartog, M., 1910. Introduction. In: Butler, S., 1880. Unconscious Memory. Fifield, London, pp. xi-xxxvii.       

Hartog, M., 1914. Samuel Butler and recent mnemic biological theories. Scientia 15, 38-52.

Hebb, D. O., 1949. Organization of Behaviour. Wiley, New York .

Heerden, P. J. van, 1963. Theory of optical information storage in solids. Appl. Optics 2, 393-400.

Heerden, P. J. van, 1968. The Foundation of Empirical Knowledge. N. V. Uitgeverij Wistik, Wassenaar, p. 46.

Heller, I. H., Elliot, K. A. C., 1954. Deoxyribonucleic acid content and cell density in brain and human brain tumors. Can. J. Biochem. Physiol. 32, 584-592.

Hennekam, R. C. M., Rhijn, A. van, Hennekam, F. A. M., 1992. Dominantly inherited microcephaly, short stature and normal intelligence. Clin. Genet. 41, 248-251.

Hering, E., 1870. Uber das Gedachtniss als eine allgemeine Function der organisirten Materie. Karl Gerold's Sohn, Vienna. (Translated by S. Butler 1880 in Unconscious Memory. David Bogue, London, pp. 97-133.)

Holliday, R., 1999. Is there an epigenetic component in long-term memory? J. Theor. Biol. 200, 339-341.

Hyatt, A., 1893. Bioplastology and the related branches of biologic research. Proc. Boston Soc. Nat. Hist. 26, 59-125.

Ingi, T., Krumins, A. M., Chidiac, P., Brothers, G. M., Chung, S., Snow, B. E., Barnes, C. A., Lanahan, A. A., Siderovski, D. P., Ross, E. M., Gilman, A. G., Worley, P. F., 1998. Dynamic regulation of RGS2 suggests a novel mechanism in G-protein signaling and neuronal plasticity. J. Neurosci. 18, 7178-7188.

James, W., 1890. The Principles of Psychology. Vol. 1. Henry Holt, New York, p. 654.

Jones, H. F., 1919. Samuel Butler Author of Erewhon (1835-1902). A Memoir. Vol. 1. Macmillan, London, pp. 349-350.

Kaminsky, Z. A., Popendikyte, V., Assadzadeh, A., Petronis, A., 2005. Search for somatic DNA variation in the brain: investigation of the serotonin 2A receptor. Mamm. Genome 16, 587-593.

Kandel, E. R., 2006. In Search of Memory. W. W. Norton, New York, p. 423.

Landauer, T. K., 1986. How much do people remember? Some estimates of the quantity of learned information in long-term memory. Cog. Sci. 10, 477-493.

Lashley, K. S., 1960. In search of the engram. In: Beach, F. A., Hebb, D. O., Morgan, C. T., Nissen, H. W. (Eds.), The Neuropsychology of Lashley. McGraw-Hill, New York, pp. 478-505.

Leslie, I., 1955. The nucleic acid content of tissues and cells. The Nucleic Acids 2, 1-50.

Lewis, S. M., Cratsley, C. K., 2008. Flash signal evolution, mate choice and predation in fireflies. Ann. Rev. Ent. 53, 293-321.

Lisman, J. E., 2007. Persistence: In search of persistence. In: Roediger, H. L., Dudai, Y., Fitzpatrick, S. M. (Eds.), Science of Memory: Concepts. Oxford University Press, New York, pp. 203-206.

Luria, A. R., 1968. The Mind of a Mnemonist: A Little Book about a Vast Memory. Basic Books, New York.

Maeda, K., Henbest, K. B., Cintolesi, F., Kuprov, I. , Rodgers, C. T., Liddell, P. A., Gust, D., Timmel, C. R., Hore, P. J., 2008. Chemical compass model of avian magnetoreception. Nature 453, 387-392.

Martino, C. Di, 2007. Memory and recollection in Ibn Sina's and Ibn Rushd's philosophical texts translated into Latin in the twelfth and thirteenth centuries. In: Lagerlund, H. (Ed.), Forming the Mind. Essays on the Internal Senses and the Mind/Body Problem from Avicenna to the Medical Enlightenment. Springer, Dordrecht, pp. 17-26.

Mattick, J. S.,  Mehler, M. F., 2008. RNA editing, DNA recoding and the evolution of human cognition. Trends Neurosci. 31, 227-233.

McCarthy, J., 1972. The home information terminal. In: Man and Computer. Proceedings of International Conference, Bordeaux 1970. Karger, Basel, pp. 48-57.

McGaugh, J. L., 2000. Memory - a century of consolidation. Science 287, 248-250.

Mendel, G. J., 1866. Versuche uber Pflanzen Hybriden. Verhandlung des naturforschenden Vereines in Brunn 4, 3-47.

Mercer, T. R., Dinger, M. E., Sunkin, S. M., Mehler, M. F., Mattick, J. S., 2008. Specific expression of long noncoding RNAs in the mouse brain, Proc. Nat. Acad. Sci. USA 105, 716-721.

Morris, R. G. M., 2007. Memory: distinctions and dilemma. In: Roediger, H. L., Dudai, Y., Fitzpatrick, S. M. (Eds.), Science of Memory: Concepts. Oxford University Press, New York, pp. 29-34.

Murray, D. J., 1988. A History of Western Psychology. Prentice Hall, Englewood Cliffs, p. 59.

Murray, D. J., 2002. Daniel L. Schacter. Forgotten Ideas, Neglected Pioneers: Richard Semon and the Story of Memory. J. Hist. Behav. Sci. 34, 431-433.

Murray, D. J., Kilgour, A. R., Wasylkiw, L., 2000. Conflicts and missed signals in psychoanalysis, behaviorism and Gestalt psychology. Am. Psychol. 55, 422-426.

Moscovitch, M., 2007. Memory: why is the engram elusive? In: Roediger, H. L., Dudai, Y., Fitzpatrick, S. M. (Eds.), Science of Memory: Concepts. Oxford University Press, New York, pp. 17-21.

Neumann, J. von, 1979. The Computer and the Brain. Yale University Press, New Haven.

Noll, H., 2003. The digital origin of human language - a synthesis. BioEssays 25, 489-500.

O'Keefe, J., Burgess, N., 2005. Dual phase and rate coding in hippocampal place cells: theoretical significance and relationship to entorhinal grid cells. Hippocampus 15, 853-866.

Pribram, K. H., 1971. Languages of the Brain. Experimental Paradoxes and Principles in Neuropsychology. Prentice-Hall, Englewood Cliffs, pp. 140-166.  

Pribram, K. H., 1991. Brain and Perception. Lawrence Erlbaum, Hillsdale, pp. xxii-xxiv, pp. 277-278.

Ribot, T. A., 1875. Heredity: A Psychological Study of its Phenomena, Laws, Causes and Consequences. Appleton, New York, p. 52.

Ribot, T. A., 1882. Diseases of Memory: an Essay in the Positive Psychology. Appleton, New York, pp. 98-116, 203-204.

Romanes, G. J., 1881. Unconscious Memory. Nature 23, 285-287.     

Romanes, G. J., 1884a. Mental Evolution in Animals, with a Posthumous Essay on Instinct by Charles Darwin. Appleton, New York.

Romanes, G. J., 1884b. Mental evolution in animals. The Atheneum, number 2944, 411-412 (March 29).

Romanes, G. J., 1895. Darwin, and After Darwin. 2. Post-Darwinian Questions. Heredity and Utility. Longmans and Green, London, pp. 32-33.

Routtenberg, A., 2008. The substrate for long-lasting memory: if not protein synthesis, then what? Neurobiol. Learn. Mem. 89, 225-233.

Schacter, D. L., 1982. Stranger Behind the Engram: Theories of Memory and the Psychology of Science. Lawrence Erlbaum, Hillsdale, p. 92, pp. 138-147, pp. 212-213.

Schacter, D. L., 2001. Forgotten Ideas, Neglected Pioneers. Richard Semon and the Story of Memory. Psychology Press, Philadelphia, p. 133.

Schacter, D. L., Eich, J. E., Tulving, E., 1978. Richard Semon's theory of memory, J. Verb. Learn. Verb. Behav. 17, 721-743.

Semon, R., 1921. The Mneme (Trans. by L. Simon of Die Mneme, als erhaltendes Prinzip im Wechsel des organischen Geschehens, 1911, 3rd Edition) Allen, Unwin, London, p. 10.

Semon, R., 1923. Mnemic Psychology (Trans. by B. Duffy of Die mnemischen Empfindungen, 1909, with Introduction by V. Lee). Allen and Unwin, London.

Siderovski, D. P., Blum, S., Forsdyke, R. E., Forsdyke, D. R., 1990. A set of human putative lymphocyte G0/G1 switch genes includes genes homologous to rodent cytokine and zinc finger protein-encoding genes. DNA Cell Biol. 9, 579-587.

Talbot, M. (1991) The Holographic Universe. Harper Collins, New York.

Teebi, A. S., Al-Awadi, S., White, A. G., 1987. Autosomal recessive nonsyndromal microcephaly with normal intelligence. Am. J. Med. Genet. 26, 355-359.

Treffert, D. A., Christensen, D. D., 2005. Inside the mind of a savant. Sci. Amer. 293, 108-113.

Treves, A., 2007. Coding and representation: time, space, history and beyond. In: Roediger, H. L., Dudai, Y., Fitzpatrick, S. M. (Eds.), Science of Memory: Concepts. Oxford University Press, New York, pp. 55-58.

Tulving, E., 2007. Coding and representation: searching for a home in the brain. In: Roediger, H. L., Dudai, Y., Fitzpatrick, S. M. (Eds.), Science of Memory: Concepts. Oxford University Press, New York, pp. 65-68.

Venema, L., 2008. The dreamweaver's abacus. Nature 452, 803-805.

Wallace, A. R., 1879. Organization and intelligence. Nature 19, 477-480.

Wallace, A. R., 1889. Darwinism. An Exposition of the Theory of Natural Selection with Some of Its Applications. Humboldt, New York, pp. 318-321.

Watson, J., Crick, F., 1953. Molecular structure of nucleic acids. A structure for deoxyribose nucleic acid. Nature 171, 737-738.

Wilczek, F., Devine, B., 1989. Longing for the Harmonies. Themes and Variations from Modern Physics. W. W. Norton, New York, pp. 177-195, pp. 315-334.

Yrjonsuuri, M., 2007. The soul as an entity: Dante, Aquinas, and Olivi. In: Lagerlund, H. (Ed.), Forming the Mind. Essays on the Internal Senses and the Mind/Body Problem from Avicenna to the Medical Enlightenment. Springer, Dordrecht , pp. 59-92.

End Note (March 2009) Theodule Ribot

This paper begins by noting that Ribot was thinking along the same lines as Hering and Butler. Nicolas and Murray (1999) point out that Ribot spent 3 weeks in England circa May-June 1877. Herbert Spencer took him to The Atheneum Club, where he met George Romanes. One wonders whether Ribot had occasion to press the Hering/Butler viewpoint.

Nicolas, S. & Murray, D. J. (1999)  Theodule Ribot (1839-1916), founder of French psychology. History of Psychology 2, 277-301.

End Note on Conserved Accelerated Region in Human DNA (July 2009)

In September 2006, there was a report in Nature from David Haussler's laboratory that identified regions in the human genome ("human accelerated regions") that were highly conserved between species, but had undergone very rapid changes at about the time of the emergence of the primate line leading to modern Homo sapiens. One of these regions (HAR1) is actively transcribed in the brain in the second trimester of embryonic development.

Pollard K. S. et al. (2006) An RNA gene expressed during cortical development evolved rapidly in humans. Nature 443, 167-172.

End Note (Dec 2009)

As noted, much of the above appears far-fetched. Perhaps the most penetrating intellect of the second half of the 20th century, Francis Crick (1916-2004), turned to neuroscience around 1975. We can only speculate on the meaning of his remarks as noted in Olby's biography (2009):

Of Molecules and Men (1966). Concerning the "two cultures" divide of C. P. Snow: Crick wrote: 

"It can be confidently stated that our present knowledge of the brain is so primitive - approximately at the stage of the four humors in medicine or of bleeding in therapy -- that when we do have fuller knowledge our whole picture of ourselves is bound to change radically. Much that is now culturally acceptable will then seem to be nonsense. People with training in the arts still feel that in spite of the alterations made in their lives by technology -- modern science has little to do with what concerns them most deeply. As far as today's science is concerned this is partly true, but tomorrow's science is going to knock their culture right out from under them."

Rickman Godlee Lecture (1968) at University College, London: 

"Now developing 'an idea of ourselves,' our nature as humans 'will only come when we understand the nervous system. But when it does come I think the impact will be overwhelming -- it will, for example, essentially make much of our literature unreadable, as much as alchemy is unreadable to modern chemists. I know many of you think that's unsound, I merely leave it with you as my personal opinion that when we understand in detail the nervous system we shall think so differently about ourselves -- people in that time will hardly be able to understand much of our [conceptions of] mental processes today. But I think by that time practical problems will have made a considerable change in our outlook and in particular in our ethics -- in particular we need a new ethical system based on modern science'."

End Note (November 2010) Darwin's Notebook N

The notebooks written around 1840 include the following comment: "To study Metaphysic, as they have always been studied appears to me to be like puzzling at Astronomy without Mechanics. -- Experience shows the problem of the mind cannot be solved by attacking the citadel itself. -- the mind is function of body. -- we must bring some stable foundation to argue from."

Barrett, PH et al. (1987) Charles Darwin's Notebooks, 1836-1844 (Cornell University Press).

End Note (June 2012) Erwin Schrodinger

Erwin Schrodinger's What is Life? (1944) is widely acknowledged as having inspired many of those who gave us DNA and the information concepts of the 1950s and 1960s. But where did this famous physicist (born 1887 in Vienna) get his biological ideas? In essays dated 1925 and 1960 that were published as My View of the World (1964), Schrodinger declared himself as having, in 1918, been "deeply imbued" in Richard Semon's mneme books (first published in 1904, and 1907, in German). In the light of the above paper, we can trace a path of fundamental informational ideas from Hering/Butler to Semon, to Schrodinger, and so on to Erwin Chargaff (born 1905 in Czernowitz), and then on to Watson, Crick and many others.

 

End Note (October 2012) Brain Plasticity

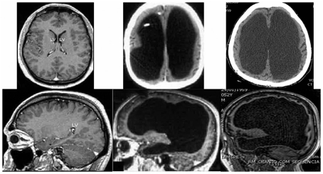
Those who seem to have large memory stores (savants; Section 6) usually do not have oversize heads. And it is also noted (Section 9) that some microcephalics have normal intelligence, so may not necessarily have small memory stores. A recent book (Bateson & Gluckman 2011) brings to attention an amazing reduction in brain mass in some who were treated in early childhood for enlarged ventricles ("water on the brain"), yet now retain or exceed normal intelligence (Feuillet et al. 2007).
Scan of brain with enormous ventricles 
Brain scan of Feuillet hydrocephalic patient as adult at left, compared with normal subject on the right

This dramatically affirms an earlier, more extensive, study reported by neurologist John Lorber (Lewin 1980). Most amazing was a student at Sheffield University, referred to Lorbor, simply out of interest, since he had a slightly larger than normal head. Lorber stated:
 
"There's a young student at this university who has an IQ of 126, has gained a first-class honors degree in mathematics, and is socially completely normal. And yet the boy has virtually no brain. When we did a brain scan on him, we saw that, instead of the normal 4.5 centimeter thickness of brain tissue between the ventricles and the cortical surface, there was just a thin layer of mantle measuring a millimeter or so. His cranium is filled mainly with cerebrospinal fluid." -- "I can't say whether the mathematics student has a brain weighing 50 grams or 150 grams, but it's clear that it is nowhere near the normal 1.5 kilograms, and much of the brain he does have is in the more primitive deep structures that are relatively spared in hydrocephalus. There must be a tremendous amount of redundancy or spare capacity in the brain, just as there is with kidney and liver. The cortex probably is responsible for a great deal less than most people imagine."

Bateson and Gluckman seem to accept Lorber's reduncy argument to the extent that we know that one part of the brain can sometimes accommodate to damage in another part, so the brain exhibits functional plasticity. So do Oliviera et al. (2102) in new studies from Brazil.

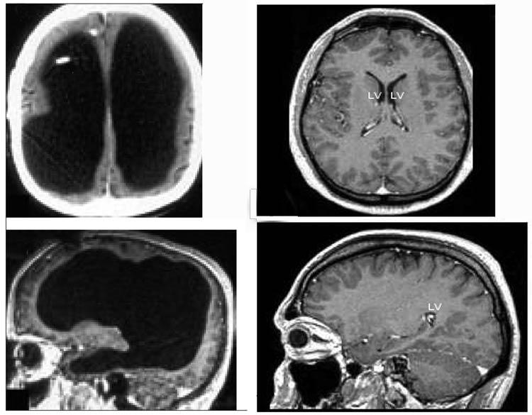
Fake adaptation from Feuillet et al. 2007 that DRF unknowingly uploaded 
Brain scans of patients of Oliveira et al. Normal appearance (left). Abnormal appearance (middle and right). The middle patient is clinically normal, whereas the right patient has suffered "deep cognitive and motor impairment since childhood."(Reproduced under Creative Commons Licence)

However, it seems to me that the "plasticity" (or "brain resilience") explanation must have a limit. The drastic reduction in brain mass in these cases seems to demand an unimaginable  level of superplasticity. How much brain must be absent before we abandon the plasticity explanation and look for another explanation? Had I known of the hydrocephalus cases, I would have included them in the above paper, where I used, to support my case, the fact that a small minority of microcephalics have normal IQs. The wacky explanation I came up with (see above), seems no more wacky that the "plasticity" explanation.

Bateson P, Gluckman P (2011) Plasticity, Robustness, Development and Evolution (Cambridge University Press).

Feuillet L, Dufour H, Pelletier J (2007) Brain of a white-collar worker. Lancet 370, 362.

Lewin R (1980) Is your brain really necessary? Science 210, 1232-1234.

Oliviera MF de, Pinto FCG, Nishikuni K, Botelho RV, Lima AM, Rotta JM (2012) Revisiting hydrocephalus as a model to study brain resilience. Frontiers in Human Neuroscience 5, article 181, 1-4. [Paper retracted see below]

 

End Note (Jan 2013) Universality of Replicators

Richard Dawkins'sThe Selfish Gene (1976) winds up (Chapter 11) with a bold attempt to generalize the selfish paradigm to entities that may exist anywhere in our universe:

"What, after all, is so special about genes? The answer is that they are replicators. The laws of physics are supposed to be true all over the accessible universe. Are there any principles of biology which are likely to have similar universal validity? When astronauts voyage to distant planets and look for life, they can expect to find creatures too strange and unearthly for us to imagine. But is there anything which must be true of all life, wherever it is found, and whatever the basis of its chemistry? If forms of life exist whose chemistry is based on silicon rather than carbon, or ammonia rather than water, if creatures are discovered which boil to death at -100 degrees centigrade, if a form of life is found which is not based on chemistry at all, but on electronic reverberating circuits, will there still be any general principle which is true of all life? Obviously I do not know but, if I had to bet, I would put my money on one fundamental principle. This is the law that all life evolves by the differential survival of replicating entities. The gene, the DNA molecule, happens to be the replicating entity which prevails on our own planet. There may be others. If there are, provided certain conditions are met, they will almost inevitably tend to become the basis for an evolutionary process." 

The profundity of this remark was somewhat overshadowed by the chapter's emphasis on what Dawkins called the "meme" as a unit of cultural transmission. But if, for "life," we substitute the physical or chemical basis of the information upon which entities - including the "life" and "culture" entities - depend, then this may be relevent to the subject of the above paper.

 

End Note (Mar 2013) Freud, Butler and Hering

According to Tingle (2000), Sigmund Freud "was conversant with the ideas of Butler, but particularly admired those of his acquaintance Ewald Hering." In 1884 Hering invited the young Sigmund Freud to be his assistant. Later, Freud translated into English the part of a book on The Unconscious (Levine 1923) dealing with Butler, adding as a footnote: "German readers, familiar with this lecture of Hering's and regarding it as a masterpiece, would not, of course, be inclined to bring into the foreground the considerations based on it by Butler."

Tingle C. M. (2000) Symptomatic Writings: Prefigurations of Freudian Theories and Models of the Mind in the Fiction of Sheridan Le Fanu, Wilkie Collins and George Eliot. Ph..D. Thesis, School of English, University of Leeds, p. 242, 244.

[For more on this see 2015 paper on Theory of Mind.]

 

End Note (Sep 2017) Retraction of Oliviera et al. 2012

Although I did not notice at the time, it is easy to go back to the above End Note for October 2012 and compare the figure of Feuillet et al. (2007) with the one below it from the paper of Oliviera et al. (2012). You will see that the photographs for the patient of Feuillet et al. are reproduced in Oliviera et al.. This misrepresentation was noticed by others and a formal retraction was announced in 2016. For more Click Here

A discovery of the fraudulent data was made in 2015 by Ondrej Havlicek and announced in the Neurosceptic section of Discover Magazine (Click Here,) which had reviewed one of my papers on the topic. Whether the juxtaposition of the figures in the above End Note had assisted Havlicek's discovery I do not know. But, in any case, well done Ondrej! And my apologies to readers for not being more observant myself.

The problem with the Brazilian study was independently noted in 2015 by Michael Nahm (see below). He writes (personal communication reproduced with permission Jan. 2018):

"It was not too easy to detect this plagiarism, as de Oliveira didn't copy the original scans from Feuillet, but those from a New Scientist online article. These scans differ a bit from the originals in that some numbers are missing and in the lower resolution.

I spotted the plagiarism in April 2015, corresponded with de Oliveira about it in May, and informed the journal Editors about the plagiarism in June.

To my surprise, it took the Legal Advisors and Editors of The Lancet and of Frontiers in Human Neuroscience 10 months of "investigation" to conclude that everything was in order and that no action will be undertaken.

Only after I sent them a direct comparison between the hydrocephalus scans of de Oliveira and the New Scientist article (and a direct comparison of the scans of the normal brains, which were plagiarized as well) in April 2016, did they change their mind and they decided to retract the paper."

However, I would point out that the fact that the third repetition of an observation turns out to be fraudulent, in no way implicates fraud in the first two reports, one by Lorber, and one by Feuillet et al. (2007). We await further independent reports (such as that provided by Rosie Raveis in the above Neurosceptic blog), and post-mortem verifications of the patients described in the early reports. The papers of Nahm et al. and Ferris et al. (see below) add important further evidence.

End Note (January 2018) Many Supportive Reports

An exhaustive study of the literature dating back to Mantel (1823), brings futher credence to the work of Lorber and Feuillet et al. (1). Echoing William Bateson's "Treasure your exceptions," it concluded: "Remarkable discrepancies between cerebral and cognitive conditions of some patients with hydrocephalus, HHE, hemispherectomy, and savant syndrome illustrate complexities of the neurobiological underpinnings of cognition.We hope that this article will stimulate further research into extraordinary cases of discrepancy between cerebral conditions and mental functioning. It is research into such extraordinary phenomena that may push scientific exploration into as yet under-researched topics, as well as raising important questions related to research concerned with the function of normal brains."

Nahm M, Rousseau D, Greyson B (2017) Discrepancy between cerebral structure and cognitive functioning. The Journal of Nervous and Mental Disease 205: 967- 972.

Nahm M, Evrard R (2019) Findings along the way in psychical research: a non-existent hydrocephalus patient. Journal of the Society for Psychical Research 83: 31-35.

End Note (January 2020) A Rat with No Brain

The brain of an elderly hydrocephalic rat was found by Craig Ferris et al. (2019) to show many of the features exhibited by the human brains discussed above.

Ferris CF et al. (2019) Life without a brain: Neuroradiological and behavioral evidence of neuroplasticity necessary to sustain brain function in the face of severe hydrocephalus. Scientific Reports (Nature) 9: 16479.

 

Go to: Butlerian Intelligent Design (Click Here)

Go to: Lectures on Long Term Memory and Theory of Mind (Click Here)

Go to: Paper 2014 on Long Term Memory (Click Here)

Go to: Paper 2015 on Theory of Mind (Click Here)

Return to: Mind (Click Here)

Return to: Evolution Index (Click Here)

Return to: Bioinformatics Index (Click Here)

Return to: Homepage (Click Here)

This web-page was established in Feb 2009 and last revised 11 Nov 2020 by Donald Forsdyke